Tu sonrisa habla de nosotros
Cada vez que un paciente sonríe con confianza después de un tratamiento, sentimos que nuestro trabajo cobra sentido.
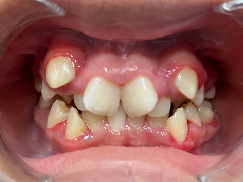
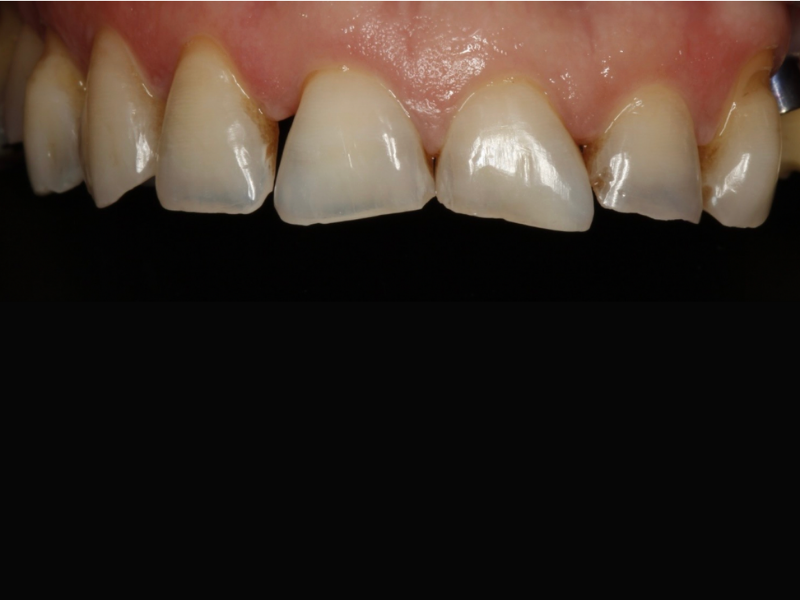
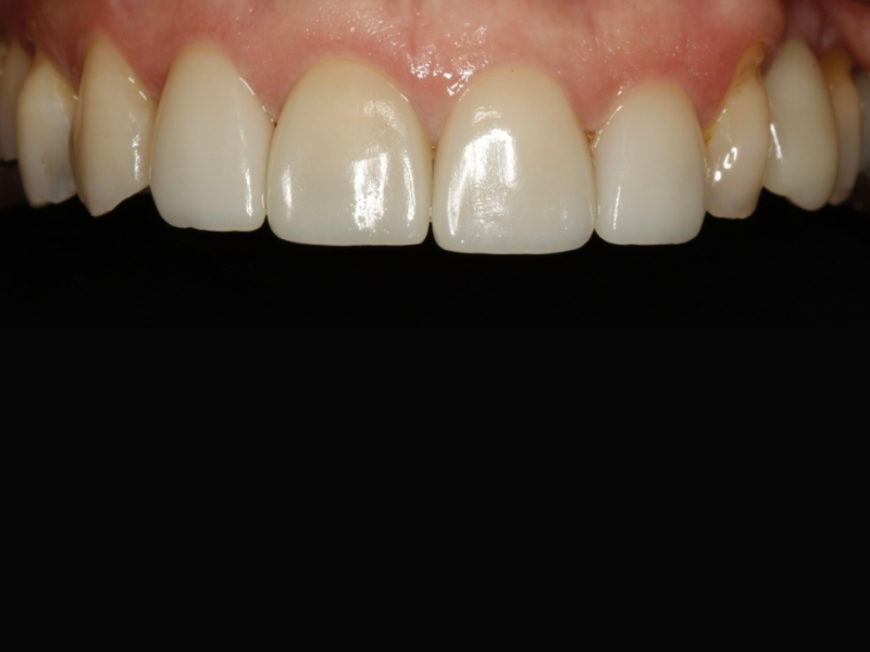
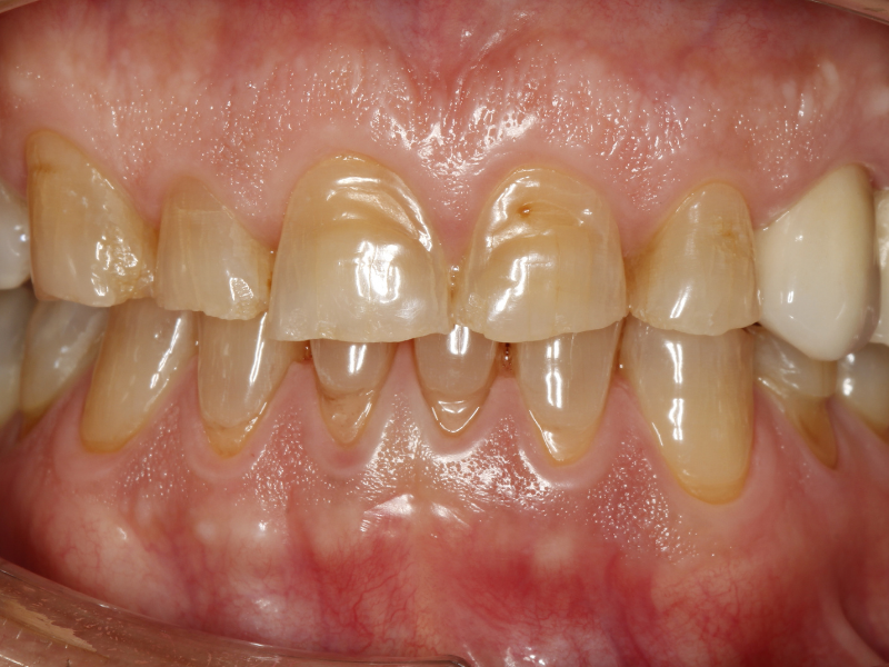
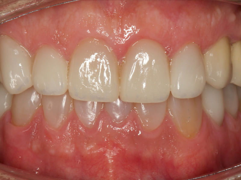
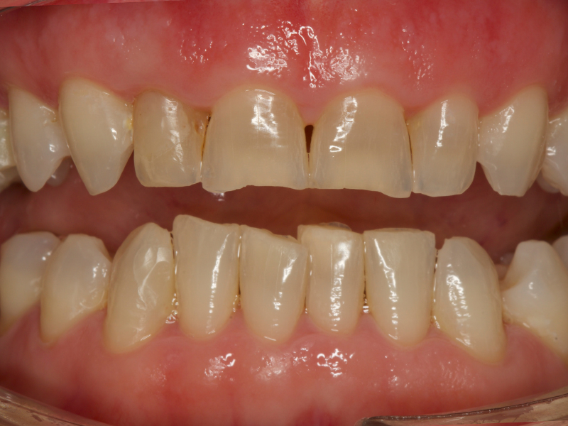
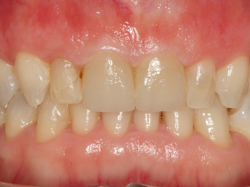
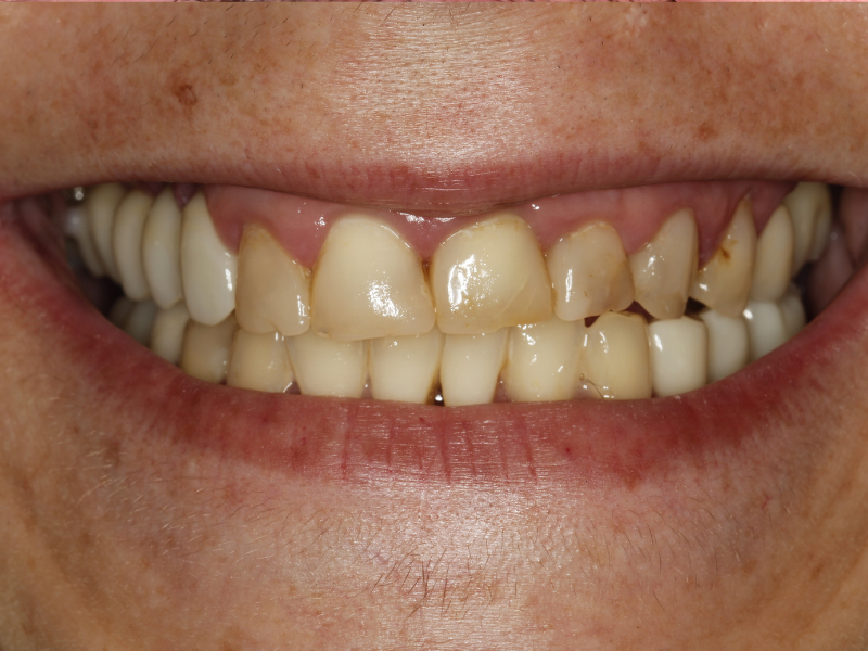
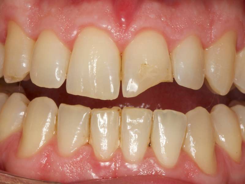
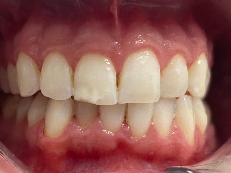
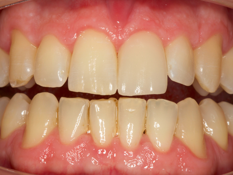
En esta sección compartimos algunos de los casos reales que hemos tenido el privilegio de acompañar. Porque detrás de cada imagen hay mucho más que un cambio estético: hay esfuerzo, dedicación, escucha y un equipo comprometido con hacer bien las cosas.
“Tu sonrisa habla de nosotros” no es solo una frase bonita, es la manera en la que entendemos nuestra profesión. Si tú estás bien, nosotros también. Si sonríes con libertad, nosotros también lo hacemos.
Gracias a quienes han confiado en nosotros para formar parte de su historia. Estas son algunas de ellas.
Rehabilitación








Ortodoncia


















Blanqueamiento






Estética dental











