Cuidamos su sonrisa desde el principio
La ortodoncia infantil no solo corrige dientes torcidos. También permite detectar a tiempo alteraciones en la mordida y guiar el crecimiento de los maxilares en una etapa clave del desarrollo. En Clínica Dental Crespo trabajamos la ortodoncia infantil desde un enfoque preventivo, funcional y personalizado, acompañando a cada niño y a cada familia en todo el proceso.
¿Cuándo debe ir mi hijo al ortodoncista?
La primera valoración suele recomendarse alrededor de los 6 años. En esta etapa podemos detectar de forma precoz problemas que, si se tratan a tiempo, pueden evitar tratamientos más complejos en el futuro.
En la revisión valoramos, entre otros aspectos:
- Mordida cruzada
- Mordida abierta
- Problemas de espacio
- Hábitos como chuparse el dedo
- Respiración oral
- Alteraciones en el crecimiento de los maxilares
Detectarlo a tiempo puede marcar la diferencia.
¿Qué es la ortodoncia interceptiva?
La ortodoncia interceptiva es la que actúa mientras el niño está creciendo. No siempre implica llevar brackets. En muchos casos utilizamos aparatología diseñada para guiar el desarrollo óseo y dental y mejorar la función, no solo la alineación.
Según el caso, podemos indicar:
- Aparatos funcionales
- Dispositivos removibles
- Expansores del paladar
- Mantenedores de espacio
¿Qué beneficios tiene tratarlo a tiempo?
- Mejora la función masticatoria
- Favorece una correcta respiración
- Reduce el riesgo de traumatismos dentales
- Ayuda a evitar extracciones futuras innecesarias
- Refuerza la autoestima del niño
Una sonrisa equilibrada no es solo estética. Es salud.
Equipo de Ortodoncia
En Clínica Dental Crespo contamos con un equipo especializado en ortodoncia con la Dra. Gómez y la Dra. Sara Dudek, profesionales comprometidas con una ortodoncia precisa, funcional y estéticamente equilibrada.
Su enfoque va más allá de alinear dientes: estudian cada caso en profundidad para conseguir una mordida estable, saludable y armónica a largo plazo.
Ofrecemos diferentes tipos de ortodoncia adaptados a cada etapa de la vida. En adultos y adolescentes trabajamos con alineadores invisibles siendo clínica Invisalign Platinum, ortodoncia estética avanzada y brackets metálicos o cerámicos, seleccionando el sistema más adecuado según el diagnóstico. En ortodoncia infantil, especialmente en niños en etapa de crecimiento, la Dra. Sara Dudek aborda tratamientos interceptivos y ortodoncia miofuncional como Myobrace, orientados a guiar el desarrollo óseo y dental desde fases tempranas.
¿Y si no necesita tratamiento todavía?
También es una buena noticia. En muchos casos solo realizamos seguimiento periódico, controlando el crecimiento y actuando en el momento adecuado. La clave no es tratar antes, sino tratar cuando toca.
¿Es dolorosa la ortodoncia infantil?
Los tratamientos actuales están diseñados para ser cómodos y bien tolerados. Además, acompañamos al niño en cada cita para que la experiencia sea positiva y sin miedo. Nuestro objetivo es que venir al dentista sea algo natural.
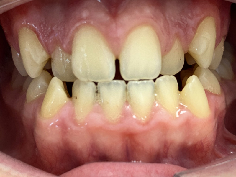
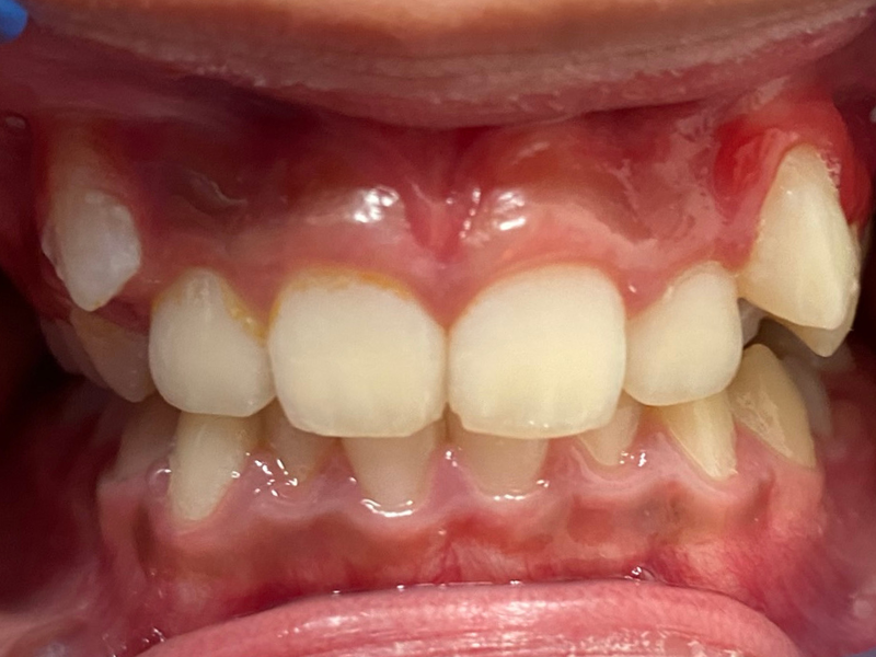
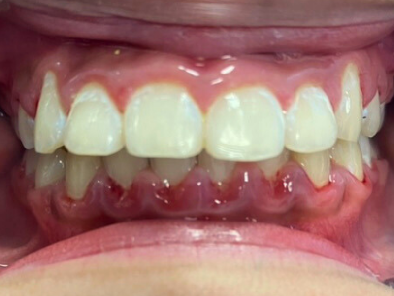
Casos clínicos




Nuestro enfoque en Clínica Dental Crespo
En nuestra clínica en Paterna entendemos que cada niño es diferente. Por eso trabajamos con una planificación adaptada a su crecimiento y a sus necesidades reales.
- Realizamos un estudio personalizado
- Explicamos el proceso a padres e hijos
- Diseñamos un plan adaptado a su etapa de desarrollo
- Hacemos seguimiento continuo
