Estética Dental

Dra. Alejandra Baima, Estética Dental

La Dra. Alejandra Baima desarrolla su trabajo en el área de estética dental con un enfoque preciso, conservador y altamente personalizado. Su objetivo no es transformar sonrisas, sino realzarlas respetando la armonía facial y la identidad de cada paciente.

Cada tratamiento comienza con un análisis detallado de proporciones, forma dental, encías y expresión facial. La planificación es minuciosa, porque en estética dental los pequeños detalles marcan la diferencia.

Trabaja con técnicas avanzadas en carillas, reconstrucciones estéticas y diseño de sonrisa, priorizando siempre la naturalidad, la funcionalidad y la salud a largo plazo. Para la Dra. Baima, una sonrisa estética debe integrarse de forma equilibrada en el conjunto del rostro, sin excesos ni artificios.

Su filosofía combina criterio clínico, sensibilidad estética y precisión técnica, ofreciendo resultados elegantes, armónicos y duraderos.

Armonía, naturalidad y precisión en cada sonrisa

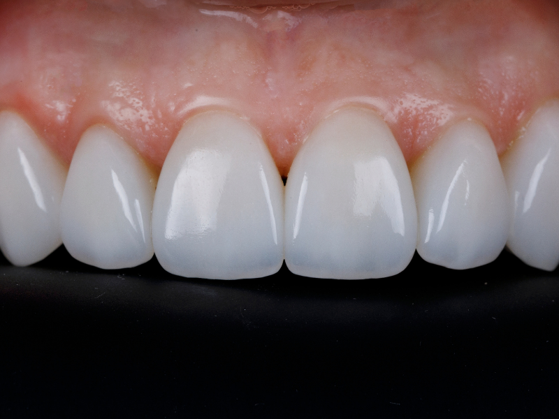
La estética dental no consiste únicamente en mejorar el aspecto de los dientes. En Clínica Dental Crespo entendemos la sonrisa como parte del equilibrio facial, la función masticatoria y la salud bucodental.

Cada tratamiento comienza con un diagnóstico detallado y una planificación personalizada. Porque una sonrisa estética debe ser natural, proporcionada y respetuosa con la estructura dental.

¿Qué es la estética dental?

La estética dental engloba los tratamientos orientados a mejorar el color, la forma, la proporción y la alineación de los dientes, siempre manteniendo la funcionalidad y la salud.

El objetivo no es transformar tu sonrisa en algo artificial, sino realzarla respetando tu expresión y tu identidad.

Tratamientos de estética dental

En Clínica Dental Crespo ofrecemos un abordaje integral que puede incluir uno o varios de los siguientes tratamientos:

  • Carillas dentales: láminas finas de porcelana o composite para mejorar forma, color y proporciones.
  • Blanqueamiento dental: aclaramiento del tono dental bajo supervisión profesional.
  • Coronas estéticas (técnica BOPT): restauraciones diseñadas para integrarse de forma armónica con la encía.
  • Ortodoncia estética: alineadores invisibles o brackets cerámicos para corregir la posición dental.
  • Reconstrucciones estéticas adhesivas: para corregir desgastes o pequeñas fracturas.
  • Rehabilitación oral estética: en casos que requieren una planificación global de la sonrisa.

¿Cómo es el proceso?

  • Estudio personalizado: análisis de sonrisa, proporciones faciales y mordida.
  • Planificación estética: diseño previo buscando armonía y naturalidad.
  • Ejecución del tratamiento: utilizando técnicas actuales y materiales de alta calidad.
  • Seguimiento: control de estabilidad y mantenimiento a largo plazo.

¿Para quién está indicada?

  • Pacientes con alteraciones de color dental.
  • Dientes desgastados o fracturados.
  • Irregularidades en forma o tamaño.
  • Leves desalineaciones.
  • Sonrisas que han perdido armonía con el paso del tiempo.

Cada caso requiere una valoración individualizada para determinar la mejor combinación de tratamientos.

Nuestro enfoque en estética dental

En Clínica Dental Crespo trabajamos la estética dental desde una visión clínica y personalizada. No diseñamos sonrisas estándar, sino tratamientos adaptados a cada paciente.

La planificación minuciosa, el respeto por la biología y la búsqueda de naturalidad son pilares fundamentales en cada caso.

Nuestro objetivo es que tu sonrisa se vea mejor, pero que siga siendo tuya.

Agenda tu consulta gratuita hoy y da el primer paso hacia la sonrisa de tus sueños.

Deja tus datos y nosotros te llamamos

Tu sonrisa habla de nosotros

LlámanosPedir Cita