Caries secundaria bajo empastes: ¿por qué vuelve la caries “donde ya estaba arreglado” y cómo evitarlo?

¿Te han dicho alguna vez que tienes caries… debajo de un empaste? ¿Te has quedado con cara de “pero si eso ya me lo arreglaron hace años”? Es una de las situaciones más frustrantes para cualquier paciente: sentir que has hecho “los deberes” y, aun así, el problema reaparece justo en el mismo sitio. Y no, no es raro ni significa necesariamente que el tratamiento anterior estuviese mal hecho. Muchas veces es el resultado de cómo envejecen los materiales, cómo cambian tus hábitos con el tiempo y, sobre todo, de algo que casi nadie vigila: el sellado real entre el empaste y el diente.

La caries secundaria (también llamada caries recurrente o caries por filtración) es un problema real de la odontología diaria. En Paterna la vemos con frecuencia en pacientes con empastes antiguos, restauraciones grandes o cambios de rutina (más picoteo, bebidas azucaradas, estrés, bruxismo, boca seca por medicación, etc.). La parte delicada es que suele avanzar en silencio, por debajo del empaste, y cuando da síntomas a veces ya ha alcanzado capas profundas.

En este artículo vas a entender, de forma clara y sin rodeos, qué es la caries secundaria, por qué aparece incluso si te cepillas, cómo detectarla a tiempo, qué tratamientos son más eficaces hoy y qué puedes hacer en tu día a día para que tus empastes duren mucho más. Si vives en Paterna y te preocupa que “te vuelva a salir caries” donde ya te habían tratado, aquí tienes una guía completa para poner orden.

Qué es la caries secundaria y por qué es tan frecuente en empastes antiguos

La caries secundaria es la que aparece en el borde o por debajo de una restauración dental (empaste, incrustación, corona) tras un tiempo. No es una “caries nueva” en una superficie intacta, sino una lesión que aprovecha una zona vulnerable: la unión entre el diente natural y el material restaurador.

Piensa en el empaste como en una “tapa” que debe encajar perfectamente. Cuando el ajuste deja de ser perfecto (por microfiltración, desgaste, fracturas, contracción del material o cambios en el diente), las bacterias y los ácidos encuentran un camino. Y si encuentran camino, hacen lo que saben hacer: desmineralizar.

Por qué puede haber caries aunque tengas un empaste

Hay un mito bastante extendido: “Si tengo un empaste, esa zona está protegida”. La realidad es que el empaste protege la parte que cubre, pero los bordes son un punto crítico. La unión material-diente está sometida a:

  • Fuerzas de masticación (presión y flexión del diente).
  • Cambios de temperatura (frío/calor) que expanden y contraen materiales.
  • Ácidos de la dieta y fluctuaciones del pH.
  • Placa bacteriana acumulada si la higiene interdental es irregular.

Con los años, es normal que esa “línea de unión” sufra. Y cuando se forma una microgrieta o un pequeño hueco, se crea el escenario perfecto para una caries oculta.

Microfiltración: el enemigo silencioso

La microfiltración es el paso microscópico de fluidos, bacterias y sustancias entre el empaste y el diente. No tiene por qué verse a simple vista, pero puede provocar:

  • Manchas oscuras en el borde del empaste.
  • Sensibilidad al frío o al dulce.
  • Inflamación pulpar progresiva si la caries avanza.

La microfiltración no siempre duele al principio, por eso es tan traicionera: cuando el paciente nota algo, a veces ya hay destrucción significativa debajo.

Contracción del composite y envejecimiento del material

El composite (el material blanco de la mayoría de empastes actuales) se adhiere al diente mediante un sistema adhesivo. Al polimerizar (endurecer con luz), puede sufrir una pequeña contracción. Si la restauración es grande o la técnica no ha sido ideal, esa contracción puede crear tensiones en el borde.

Además, con el tiempo:

  • El composite puede desgastarse o pulirse en exceso por el cepillado y la masticación.
  • Puede aparecer una ligera rugosidad que retiene más placa.
  • El adhesivo se degrada por humedad y cambios químicos en la boca.

En empastes antiguos, estos factores se suman y la probabilidad de caries secundaria aumenta.

Empastes grandes: cuando el diente queda “al límite”

Cuanto más grande es un empaste, más superficie de unión material-diente existe. Y cuanto más borde, más posibilidad de que alguna zona falle con los años. Además, los dientes con grandes reconstrucciones suelen:

  • Flexionar más al masticar.
  • Tener paredes más finas y propensas a microfracturas.
  • Ser más difíciles de limpiar en zonas interproximales.

Por eso, un empaste pequeño puede durar muchos años sin problemas, pero un empaste grande en una muela posterior suele requerir revisiones más estrictas.

Señales de alarma: ¿cómo sospechar caries secundaria?

La caries bajo empaste puede ser totalmente asintomática al inicio, pero hay señales que conviene no ignorar. Si vives en Paterna y te pasa algo de esto, merece la pena una revisión:

Sensibilidad nueva en un diente con empaste antiguo

  • Molestia al frío que antes no existía.
  • Dolor al dulce o bebidas muy ácidas.
  • Sensación de “corriente” breve al morder ciertos alimentos.

La sensibilidad no siempre significa caries, pero cuando aparece en un diente restaurado de hace años, hay que descartar filtración.

Alimentos que se quedan atrapados donde antes no

Si de repente se te queda comida en el lateral del empaste o entre la muela y la de al lado, puede indicar:

  • Contacto interproximal abierto (el empaste ya no cierra bien con el diente vecino).
  • Desgaste o fractura del borde de la restauración.
  • Inicio de caries interproximal alrededor del empaste.

Además de ser molesto, ese atrapamiento aumenta el riesgo de que la caries avance más rápido.

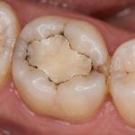
Manchas oscuras en el borde del empaste

No toda mancha es caries, pero cuando aparece una línea oscura en el margen, puede ser:

  • Simple pigmentación superficial.
  • Filtración con caries incipiente bajo el borde.

La diferencia no se hace “a ojo” sin más; hay que explorarlo y, a menudo, apoyarse en radiografía.

Dolor al morder o sensación de fisura

Si al masticar notas un pinchazo o una incomodidad rara en una muela empastada, puede haber:

  • Microfractura del diente o del empaste.
  • Carie profunda que debilita la estructura interna.
  • Contacto alto que sobrecarga ese punto (especialmente si aprietas).

En estos casos conviene revisar rápido, porque el diente restaurado puede fracturarse de forma más severa si se deja pasar.

¿Y si no me duele nada?

Que no duela no significa que no exista. Muchas caries secundarias se detectan en revisiones rutinarias gracias a radiografías o a cambios sutiles en el borde del empaste. En odontología, esperar al dolor suele significar llegar tarde.

Diagnóstico y tratamientos actuales: cómo se soluciona la caries bajo empaste en Paterna

Cuando sospechamos caries secundaria, el objetivo es doble: detener la lesión y devolver al diente una restauración estable y sellada. En Paterna, los pacientes suelen valorar especialmente que el tratamiento sea duradero: no se trata solo de “cambiar el empaste”, sino de elegir la solución correcta según el tamaño del daño y el riesgo futuro.

Cómo diagnosticamos caries secundaria sin “adivinar”

El diagnóstico no se basa en intuición, sino en un conjunto de pruebas que permiten ver la situación real.

Exploración clínica con aumento y sondaje controlado

Se revisan los márgenes del empaste buscando:

  • Escalones o bordes levantados.
  • Rugosidad o pérdida de pulido.
  • Fracturas marginales.
  • Zonas que retienen placa fácilmente.

Además, se hace un sondaje suave para valorar si existe un “enganche” en el borde que sugiera pérdida de sellado.

Radiografías interproximales: la clave en muelas y premolares

La caries secundaria suele aparecer en zonas de contacto entre dientes (interproximal). La radiografía permite detectar:

  • Sombras radiolúcidas bajo el empaste.
  • Caries en la pared lateral del diente.
  • Profundidad y proximidad a la pulpa.

En muchas ocasiones, el paciente se sorprende al ver la lesión porque por fuera “el empaste se ve perfecto”. Precisamente por eso la radiografía periódica es tan importante en dientes restaurados.

Transiluminación y métodos complementarios

En dientes anteriores o zonas accesibles, la transiluminación ayuda a detectar desmineralizaciones y grietas. También se puede valorar la integridad de la restauración con técnicas de aislamiento y visualización más detalladas.

Evaluación del riesgo: lo que determina si basta con un empaste o conviene algo más

No todos los pacientes tienen el mismo riesgo de recidiva. Se valora:

  • Frecuencia de azúcares y bebidas entre horas.
  • Boca seca por medicación o respiración oral.
  • Higiene interdental real (no la “ideal”).
  • Historia previa de caries recurrente.
  • Bruxismo o fuerzas excesivas (que rompen bordes y sellados).

Esto influye mucho: a un paciente de alto riesgo no le conviene la misma solución que a uno con bajo riesgo, aunque la caries “se parezca”.

Tratamientos: desde recambio de empaste hasta reconstrucciones más robustas

Una vez confirmada la caries, la decisión clínica depende del tamaño del empaste, la extensión real de la lesión y la resistencia que necesita el diente.

1) Recambio de empaste (restauración directa) cuando el daño es limitado

Si la caries secundaria es pequeña o moderada y el diente conserva suficiente estructura, se puede:

  1. Retirar el empaste antiguo.
  2. Eliminar la caries (con control visual y, cuando corresponde, con técnicas de detección).
  3. Reconstruir con composite de alta calidad, con aislamiento adecuado para asegurar adhesión.
  4. Ajustar la mordida y pulir para reducir retención de placa.

En casos bien indicados, esto funciona muy bien. La clave está en el sellado y en el control posterior.

2) Incrustaciones (onlay/inlay): cuando el empaste ya era demasiado grande

Cuando el empaste ocupa gran parte de la muela, repetir un empaste directo puede ser poco duradero. En estos casos, una incrustación (pieza fabricada a medida) ofrece ventajas:

  • Mejor adaptación marginal en restauraciones amplias.
  • Mayor resistencia al desgaste.
  • Mejor distribución de fuerzas en molares.

Además, permite reconstruir cúspides debilitadas, reduciendo el riesgo de fractura del diente a futuro.

3) Corona parcial o total: cuando el diente necesita “armadura”

Si el diente está muy debilitado por caries recurrente o por múltiples empastes previos, puede ser necesario protegerlo con una corona. Esto se valora especialmente si:

  • Hay cúspides finas o fisuradas.
  • La caries afecta paredes clave del diente.
  • La muela ha perdido mucha estructura y ya no soporta bien la masticación.

En términos simples: cuando el diente no necesita solo “relleno”, sino refuerzo estructural.

4) Si la caries llega muy profundo: protección pulpar o endodoncia

En algunos casos, al retirar el empaste antiguo se descubre que la caries estaba más avanzada de lo que parecía. Entonces puede ser necesario:

  • Aplicar protección pulpar si la pulpa está cercana pero viable.
  • Valorar una endodoncia si hay inflamación pulpar irreversible o afectación directa.

Esto no ocurre siempre, pero es una posibilidad real cuando la caries secundaria lleva tiempo avanzando sin síntomas.

El error clásico: “solo taparlo otra vez” sin corregir el motivo

Si la caries secundaria aparece porque la dieta es muy cariogénica, porque hay boca seca o porque el empaste pierde sellado por bruxismo, cambiar el empaste sin abordar la causa suele terminar en el mismo punto, con el mismo diente, unos años después. El tratamiento duradero siempre combina restauración + control de riesgo.

Cómo evitar que vuelva: estrategias prácticas que alargan la vida de tus empastes

Aquí viene lo que más interesa a muchos pacientes: “Vale, me lo arreglo… ¿pero cómo evito que me vuelva a pasar?”. En Paterna, donde el ritmo de vida a veces empuja al picoteo y al café continuo, hay varios ajustes con un impacto enorme.

1) El factor número uno: frecuencia de azúcares, no solo cantidad

La caries (también la secundaria) se dispara cuando hay ataques ácidos frecuentes. No importa tanto si “comes poco dulce” como si:

  • Picas algo cada hora.
  • Tomás café con azúcar a sorbitos durante toda la mañana.
  • Consumes snacks o bebidas azucaradas entre comidas.

Reducir la frecuencia de exposiciones es una de las medidas más efectivas para frenar caries recurrente, especialmente en bordes de empastes.

2) Higiene interdental realista: lo que marca la diferencia en caries bajo empastes

Muchísimas caries secundarias nacen en el contacto entre muelas. Por eso, el cepillo solo no basta. Lo ideal es incorporar:

  • Hilo dental o cinta en contactos cerrados.
  • Cepillos interproximales donde haya espacio.
  • Irrigador como complemento si hay retención frecuente de comida (no sustituye al hilo, pero ayuda).

La clave es hacerlo con constancia, no perfecto. Mejor 4–5 veces por semana bien hechas que dos días perfectos y cinco días nada.

3) Pasta de dientes y flúor: elegir bien según tu riesgo

Si tienes historia de caries recurrente, conviene usar una pasta con flúor adecuada y evitar pastas excesivamente abrasivas “blanqueadoras” si no están indicadas. En algunos perfiles, el profesional puede recomendar:

  • Protocolos de flúor más intensivos.
  • Enjuagues específicos en periodos de riesgo.
  • Geles remineralizantes en casos seleccionados.

Esto no es marketing: en pacientes de alto riesgo, el flúor es una herramienta protectora real contra caries en márgenes de restauraciones.

4) Control de boca seca (xerostomía): un factor infravalorado

La saliva protege. Si hay poca saliva por medicación (antidepresivos, antihistamínicos, antihipertensivos, etc.), estrés o respiración oral, aumenta el riesgo de caries secundaria. Medidas útiles:

  • Hidratación frecuente.
  • Chicles sin azúcar (si no hay problemas mandibulares) para estimular saliva.
  • Revisar con el profesional opciones de productos para boca seca.

Una boca seca con empastes antiguos es un escenario típico de caries recurrente.

5) Si aprietas los dientes, tus empastes sufren

El bruxismo no solo desgasta dientes: también puede abrir microgrietas en bordes de empastes y generar filtración. Si notas:

  • Desgaste plano en dientes.
  • Dolor mandibular al despertar.
  • Empastes que se rompen o saltan con frecuencia.

Puede ser necesario proteger con una férula y equilibrar mordida para aumentar la durabilidad de las restauraciones.

6) Revisiones periódicas: la forma más barata de evitar tratamientos grandes

Las caries secundarias pequeñas se pueden resolver con tratamientos conservadores. Las grandes, con reconstrucciones más complejas. Por eso, las revisiones en clínica son una inversión:

  • Detectan filtraciones antes de que haya dolor.
  • Permiten hacer radiografías interproximales cuando procede.
  • Evitan llegar a situaciones de endodoncia o fracturas.
¿Cada cuánto conviene revisar empastes antiguos?

Depende del riesgo y del tamaño de la restauración, pero en términos prácticos: si tienes muchos empastes o empastes grandes en molares, conviene un control periódico y radiografías cuando el profesional lo indique. No es “por hacer radiografías”, es para ver lo que no se ve.

Preguntas frecuentes sobre caries bajo empastes

¿Un empaste que se ve bien por fuera puede tener caries debajo?

Sí. Es más común de lo que parece. La caries puede avanzar por debajo sin alterar mucho la superficie hasta fases tardías. Por eso la exploración y la radiografía son tan importantes.

¿Me pueden “arreglar” el empaste sin quitarlo?

En algunos casos se puede reparar un pequeño defecto marginal, pero si hay caries activa debajo, lo correcto es retirar la restauración para limpiar la lesión y sellar de nuevo con garantías.

¿La caries secundaria significa que el dentista lo hizo mal?

No necesariamente. Los materiales envejecen, la boca cambia y los hábitos también. Un empaste puede durar muchos años y, aun así, desarrollar filtración con el tiempo. Lo importante es detectar el problema y tratarlo con la solución más adecuada para tu caso.

¿Por qué me pasa a mí si me cepillo?

Porque la caries recurrente depende de varios factores: dieta, frecuencia de azúcares, higiene interdental, calidad de saliva, anatomía dental, bruxismo, etc. Cepillarse es indispensable, pero no siempre suficiente si hay otros factores de riesgo activos.

¿Se puede evitar al 100 %?

No existe el 100 % en salud bucodental, pero sí se puede reducir muchísimo el riesgo con: control de dieta, higiene interdental, flúor adecuado, revisiones y tratamiento correcto según el tamaño de la restauración.

Si vives en Paterna y te han detectado caries bajo un empaste, o sospechas que algo no va bien en una muela restaurada, lo más eficaz es evaluar cuanto antes la integridad del sellado y el estado real del diente. Una intervención a tiempo suele significar un tratamiento más conservador y una recuperación más sencilla.

Tu sonrisa habla de nosotros

LlámanosPedir Cita